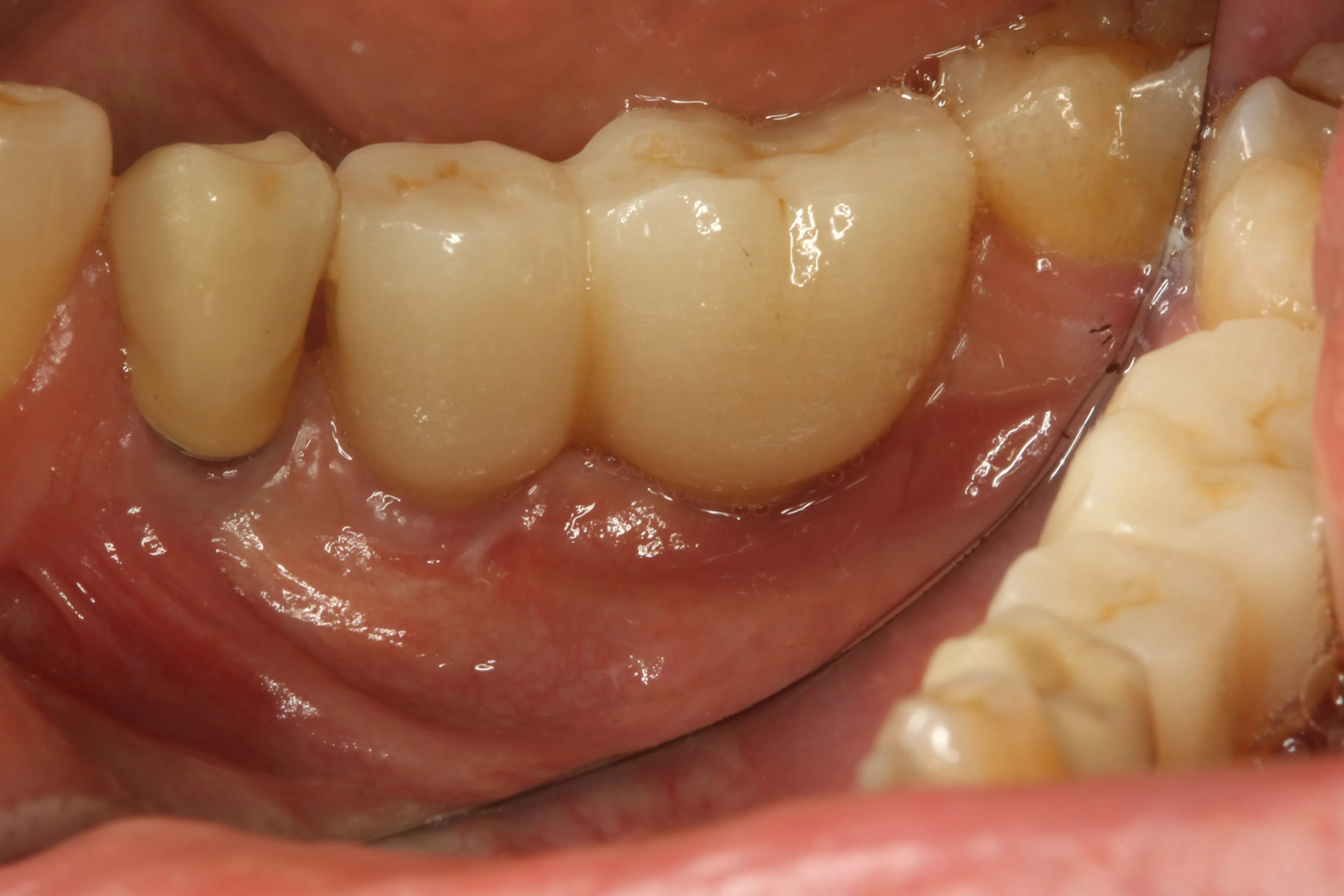
ΠΕΡΙΣΤΑΤΙΚΟ 10

Τοποθέτηση 2 εμφυτευμάτων στην κάτω γνάθο με χρήση ψηφιακού πρωτοκόλλου.

Selected Image
Thumbnail 1Thumbnail 2Thumbnail 3Thumbnail 4Thumbnail 5Thumbnail 6Thumbnail 7Thumbnail 8Thumbnail 9Thumbnail 10Thumbnail 11Thumbnail 12Thumbnail 13Thumbnail 14Thumbnail 15Thumbnail 16Thumbnail 17Thumbnail 18Thumbnail 19Thumbnail 20Thumbnail 21Thumbnail 22Thumbnail 23Thumbnail 24

Αποκτήστε το χαμόγελο
που ονειρεύεστε!